〒330-0062
埼玉県さいたま市浦和区仲町2-17-2
インプラント


しっかり噛める固定式の
人工歯根「インプラント」
インプラント治療は、なんらかの事情で失ってしまった自分の歯の代わりにチタン製の人工歯根を顎の骨に埋め込み、その上から人工歯を取りつけて噛み合わせを回復する治療法。入れ歯とは異なりしっかり骨に固定されるため、ズレたり外れたりすることがなく、白分の歯のようにしっかり噛める歯がよみがえります。
人工物なので慣れるまでは違和感が出ることもありますが、慣れれば本物の歯とほとんど変わらない機能が得られます。見た目も周りの歯と見分けがつかないほど自然なため、近年インプラント治療の人気は高まっています。
ただし、インプラント治療には顎の骨に人工歯根を固定するための外科手術が必要です。小規模の手術ではありますが、不安がある方は入れ歯を選択するのも一つの手だと言えるでしょう。
人工物なので慣れるまでは違和感が出ることもありますが、慣れれば本物の歯とほとんど変わらない機能が得られます。見た目も周りの歯と見分けがつかないほど自然なため、近年インプラント治療の人気は高まっています。
ただし、インプラント治療には顎の骨に人工歯根を固定するための外科手術が必要です。小規模の手術ではありますが、不安がある方は入れ歯を選択するのも一つの手だと言えるでしょう。
当院では、「ストローマンインプラント」という国内・国外問わずトップクラスのシェア率を誇るインプラントシステムを採用しており、インプラントの長期間のご使用を可能にしております。さらに、再生治療を用いることで歯周病によって骨が足りなくなり、インプラント治療を他院では断られてしまったかたも治療ができる場合があります。他院で一度お断りされたことがある方も是非一度ご相談下さい。
インプラント・入れ歯・ブリッジの比較
歯を失った場合、当院では下記のような方法で補っています。それぞれの方法を比較してみましょう。
| メリット | デメリット | |
|---|---|---|
![]() |
・自分の歯と同じように噛める ・見た目が自然 ・周りの歯に負担がかからない ・固いものでも食べられる ・発音に影響がない |
・費用が高い ・手術の必要がある ・治療期間が長い |
![]() |
・治療期間が短い ・費用が安価 |
・目立ちやすい ・発音に影響が出ることがある ・周りの歯に負担がかかる ・顎の骨が痩せやすい ・噛む力が弱くなる |
![]() |
・入れ歯よりしっかり噛める ・見た目が比較的自然 |
・健康な歯を削る必要がある ・周りの歯に負担がかかる ・顎の骨が痩せやすい ・噛む力が弱くなる |

咬合力の違い
失った歯の部分を補う治療法は3種類から選択できますが、それぞれ負担のかかり方、噛む力が変わってきます。
義歯は失った歯の歯ぐきの上に人口の歯を装着する仕組みで、しっかり固定されていないため、ずれたり、グラグラして使いにくかったりします。そしてバネのかかる隣の歯や粘膜に負担がかかってきます。
ブリッジは義歯とは異なり、セメントでしっかり固定されているため、噛む力は衰えませんが、土台となる歯を大きく削る必要があり、失った歯の部分にかかる力により、両隣の歯の寿命を縮めてしまう欠点があります。
それと比較し、インプラントは外科的な処置が必要にはなりますが、両隣の歯に負担をかけることなく独立して使うことができます。
埋入後のメンテナンスを適切におこなえば、耐久性や噛み心地など天然歯とほぼ同様の性能が期待できます。
義歯は失った歯の歯ぐきの上に人口の歯を装着する仕組みで、しっかり固定されていないため、ずれたり、グラグラして使いにくかったりします。そしてバネのかかる隣の歯や粘膜に負担がかかってきます。
ブリッジは義歯とは異なり、セメントでしっかり固定されているため、噛む力は衰えませんが、土台となる歯を大きく削る必要があり、失った歯の部分にかかる力により、両隣の歯の寿命を縮めてしまう欠点があります。
それと比較し、インプラントは外科的な処置が必要にはなりますが、両隣の歯に負担をかけることなく独立して使うことができます。
埋入後のメンテナンスを適切におこなえば、耐久性や噛み心地など天然歯とほぼ同様の性能が期待できます。
菅原歯科医院のインプラントシステム
今や、インプラントメーカーは世界中にあり、それぞれ独自の製品を開発しています。当院では、何よりも安全性に重点をおき、国内外でトップクラスのシェア率を誇る「ストローマンインプラント」を採用しています。
ストローマンインプラントとは
スイスのインプラントメーカーで、全世界でのシェア率は1位。世界中で選ばれており、長年使い続けられる成功率の高さで知られています。インプラントを入れてから5年後に、そのまま使い続けられる可能性は98.8%。信頼性もトップクラスです。
再生治療
歯周病にかかったり歯が抜けてしまったりした場合、顎の骨は溶かされたり痩せたりして、インプラントを埋め込めるだけの厚さが足りなくなってしまいます。従来はそのような患者様はインプラント治療ができませんでしたが、現在では骨を再生させる方法によってインプラント治療が可能になりました。
GBR
歯周病によって骨が足りなくなってしまった部位に人工骨や自家骨(自分の骨)を移植し、骨の再生を図る治療です。足りなかった分の骨を補えるため、従来ではインプラント治療ができなかった方でも、問題なく治療が受けられるようになります。
歯科用CT
従来のレントゲンと比較すると、顎の骨を立体的に撮影することができ、神経の位置や骨密度の診査にも利用できます。また、放射線量もこれまでの約1/3まで軽減し、患者様にとってより安心な治療が行えます。

治療の流れ
- カウンセリング
- 患者様のお悩み、歯を失った状況やインプラントでどういった回復を求めているかなど、じっくりお話を伺います。 治療方法は1つだけとは限らないので、インプラントだけでなく、どのような治療が可能なのか詳しく説明をおこない、患者様の ご希望に合った治療を選択していただきます。不安なことやご不明点は、お気軽にご相談ください。
- 検査
- 口腔内写真、レントゲン、歯科用CTなどの資料取りをおこない、口腔内全体の細かい検査をします。
虫歯や歯周病になりやすい方、歯ぎしりするクセのある方など、お口の中の状態は人それぞれ異なります。
また、神経や血管の場所、骨の厚さはミリ単位で異なるため、CTを撮ることで見えない部分も3次元で把握でき、インプラントオペをより安全におこなうことができます。
※CT撮影診査 15,000円+税 - 治療計画の説明
- 検査結果をもとに治療計画を立てていきます。
失われた歯の数、インプラントを埋め込む骨の硬さや大きさ、位置により、治療法には様々な選択肢があります。
歯にかかる力の方向や強さはもちろん、患者様に無理のない衛生管理などを含め、総合的に検討したうえで治療計画が立てられます。
患者様のご希望をお伺いしながら”患者様にとって”最適な治療をご提案します。 - 初期治療
- インプラントは歯周病菌にとても弱いため、手術をおこなう前に口腔内をきれいにしておく必要があります。
初期治療では、口腔内の歯石をしっかりと除去し、また、ご自身によるブラッシングをしっかりできるようにする、といった口腔内の衛生的な環境の整備をおこないます。 - インプラントの埋入手術
- 治療計画にもとづき、局所麻酔のもと、インプラントを埋入する手術をおこないます。
インプラントの種類は、骨の質や量、治療部位によって適切なものを選択します。
一般的な手術時間はインプラント1本の場合で約1時間程です。これには麻酔や止血、レントゲン撮影等の時間も含まれているので、実際に外科的な処置をおこなっているのは20分程度です。 - 治癒期間
- 埋入したインプラントが骨と結合するまで待ちます。
治癒期間は、骨の状態および全身の健康状態により異なり、大体3ヵ月前後です。
骨造成治療をおこなった場合は、治癒期間が長くなることがあります。 - 人工の歯の製作&装着
- インプラントと骨が結合した後に、アバットメントと呼ばれる土台を装着します。
アバットメントとは、インプラントと人工歯(上部構造)をつなぐ部品です。
その後、インプラント部位の精密な型取りをおこない、上部構造と呼ばれる人工の歯を作製し、装着します。 - メンテナンス
- インプラントを長期間安心して使い続けるためには、定期的なメンテナンスが必要です。
お口の中の衛生管理ができていなければ、インプラントは感染してインプラント周囲炎になることがあります。
数ヵ月に1度お越しいただき、インプラントの使い心地や経過状況などを伺いながらお口の中の状態をチェックし、咬み合わせの調整や歯磨きでは落としきれない汚れの除去などをおこないます。
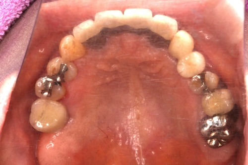
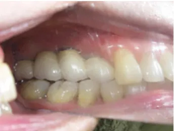
インプラント症例紹介
- 症例1
-
-
-
治療内容 左上6番、7番 インプラント サイナスリフト
骨の厚みが足りないため、骨の元になる材料を埋入し、インプラントを埋入治療期間 約6か月間 治療回数 約5回 治療費用 1,204,500円 リスク・副作用 腫脹、疼痛、発熱、インプラント周囲炎等
上顎洞の一時的な炎症が見られることがある
即時埋入時には最低限の骨量が必要
- 症例2
-
-
-
治療内容 左上3番、4番 インプラント 骨造成 ソケットリフト
骨の厚みが足りないため、骨の元になる材料を埋入し、インプラントを埋入治療期間 約8か月間 治療回数 約6回 治療費用 1,204,500円 リスク・副作用 腫脹、疼痛、発熱、インプラント周囲炎等
上顎洞の一時的な炎症が見られることがある
即時埋入時には最低限の骨量が必要
- 症例3
-
-
-
治療内容 左上3番、4番 インプラント 骨造成
骨の厚みが足りないため、骨の元になる材料を埋入し、インプラントを埋入治療期間 約9か月間 治療回数 約7回 治療費用 1,116,500円 リスク・副作用 腫脹、疼痛、発熱、インプラント周囲炎等
上顎洞の一時的な炎症が見られることがある
即時埋入時には最低限の骨量が必要

万全のアフターフォロー
インプラントを長持ちさせるためには、歯科医院で定期的なメンテナンスが欠かせません。
インプラントを支える骨が歯周病で溶けてしまう病気を”インプラント周囲炎”といい、せっかく入れたインプラントが抜けてしまうことがあるからです。
当院では、皆さまが安心してインプラント治療が受けられ、そして術後も快適な生活を送れるよう、以下のことをお約束します。
インプラントを支える骨が歯周病で溶けてしまう病気を”インプラント周囲炎”といい、せっかく入れたインプラントが抜けてしまうことがあるからです。
当院では、皆さまが安心してインプラント治療が受けられ、そして術後も快適な生活を送れるよう、以下のことをお約束します。
~菅原歯科医院では~
-
納得されるまでしっかりとご説明致します患者様にしっかり治療方法をご説明し、安心して治療を行って頂きます。
-
10年間の保証制度を設けております当院では安心の10年間保証制度を設けております。
-
担当衛生士が定期的にメンテナンス、チェックを行い 生涯使っていけるよう全力でサポート致します担当衛生士が定期的にメンテナンスをおこない、生涯使っていけるよう全力でサポートします。
-
インプラント体(土台)は世界シェアトップクラスの “straumannストローマン”を使用しています・スイスの精密な技術と徹底した品質管理のもとに作られています
・50年にわたる調査と研究に支えられ、世界で500万人以上の患者さんが治療を受けています。
よくある質問
- 治療期間はどのくらいになりますか?
- インプラントの治療期間は、個々の症例によって異なります。顎の骨にインプラントを埋めてから骨が結合するまでには、一定期間が必要であり、この期間はインプラントを埋めた部分の骨の状態に大きく影響されます。また、骨の造成が必要な場合には、さらに治療期間が延びることになります。インプラント治療を受ける際は、期間についてもしっかり確認してから治療を受けましょう。
- インプラント周囲炎とは何ですか?
- インプラント周囲炎とは、細菌感染によって歯肉や歯周組織に起こる炎症です。天然歯と異なり、インプラントには歯根膜などの栄養血管が周囲にないため、抵抗力が弱く進行しやすいです。急速に炎症が拡がってしまうため、重症化しやすく、インプラントの脱落を招くこともあります。 定期的に検診を受け、インプラント周囲炎を予防しましょう。
- インプラントは何でできているの?
- 今市場に出回っているインプラントのほとんどはチタン製です。通常金属のような異物が体の中に入り込むと、体はそれをやっつけよう、排除しようとそこに炎症が生じます。ところがチタンは体とのなじみがとても良く、このチタンが普及してからインプラントのもちは飛躍的に向上しました。
- インプラントはどれくらいもつの?
- お口の中の状態は人それぞれ違うため一概には言えませんが、一般的にインプラント治療を施し10年を経過した後の平均的な残存率は9割を超えると言われています。インプラントを長持ちさせるためには、定期的なメンテナンスと正しいセルフケアが不可欠です。
- 良いところはなんですか?
- 自分の歯のように噛める、入れ歯のような不快感がない、他の残っている自分の歯を守ることができることです。しっかり噛めることで、老化防止やガン予防にもなります。
- 治療費はどのくらい?
- インプラントは保険適用がなく、自費診療となります。費用はインプラントの本数、人工歯の種類、お口の中の状態により人それぞれ異なります。検査を受け、よく相談してから進めていきましょう。


















